Episode details

Available for over a year
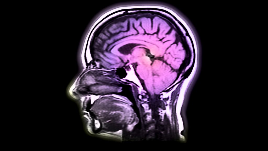
With Jane Garvey. New research has shown that far from being muddled, the brains of those aged between 40 and 60 could be in peak condition. The science writer Barbara Strauch talks to Jane about the latest findings on the middle-aged brain. A recent court case has highlighted the lack of clarity in the laws surrounding sex workers operating out of brothels. Jane discusses the implications of the case and whether this might force more women back onto the streets. Ines de la Fressange was recently voted the most stylish woman in Paris. As her guide to Parisian chic is published, she shares her style secrets with Jane. And, the artist Rose Hilton turns 80 this year. As an exhibition of her work opens in London, we visit her Cornish studio.
Programme Website