The first chemical proof of our brain adapting to chronic pain
How the human brain adapts to help cope with chronic pain; Suffering maternal health in Sierra Leone in the wake of Ebola; Harnessing the power of film to promote health messages
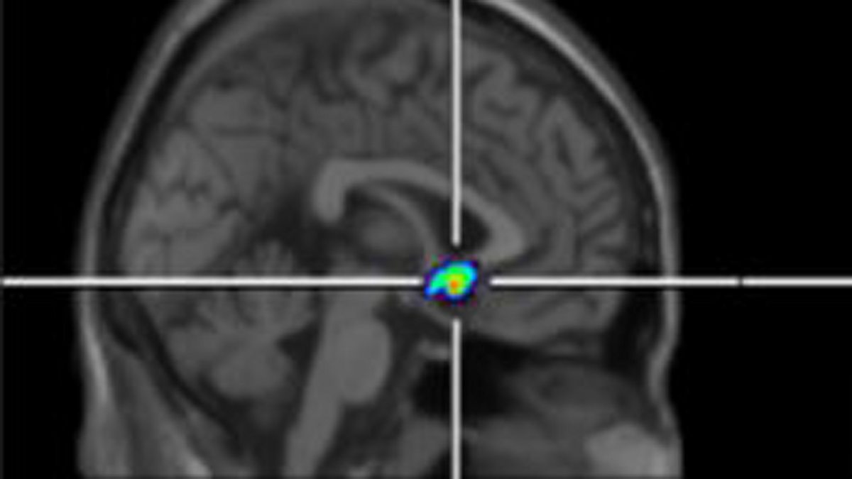
Chronic pain, pain that lasts for more than six months or so, is a huge problem. It affects at least ten per cent of the world’s population; about 60 million people. The treatment options range from drugs to cognitive behavioural therapy, but are fairly limited, and scientists are trying to find out more about the chemical conversations going on in our brains which control how we feel pain.
They have known for a while that we have receptors in our brain, like tiny docking stations, that link up with natural painkilling opiates like endorphins to reduce pain. But now for the first time, researchers have shown that the numbers of these opiate receptors seem to increase in response to pain, naturally increasing our pain thresholds and helping people with chronic pain cope better. Anthony Jones is professor of neuro-rheumatology at the University of Manchester, and his research has just been published in the journal Pain.
Maternal health Sierra Leone
Sierra Leone has amongst the worst rates of maternal mortality in the world. In the last five years, the government has been tackling the problem head on by providing better care for pregnant and breastfeeding women. Maternal healthcare was improving, but then the Ebola crisis struck. A report from the World Bank estimates that more than 4,000 extra women a year across Guinea, Liberia and Sierra Leone could die from complications during pregnancy and child birth, because of the devastating effect of Ebola on already fragile health systems. The BBC’s Kati Whitaker reports from Sierra Leone.
Film & health
Film is powerful and is something that a group of health advocates, doctors, patients and film-makers want to tap into more to spread public health messages. They believe that film is the ideal medium to communicate stories, to inspire and encourage people about their health; even address health inequalities round the world. They have organised the first Global Health Film Festival, which takes place this week (October 30th and 31st 2015) at the Royal Society of Medicine in London. Dr Joseph Fitchett is a clinical research fellow at Harvard School of Public Health and a co-founder of the Global Health Film Initiative, the partnership behind the festival.
Picture: Patients with chronic pain have differences in opioid receptors in a region of the brain that processes pain and motivation.
Credit: Human Pain Research Group, University of Manchester
Last on
More episodes
Broadcasts
- Wed 28 Oct 201520:32GMTBBC World Service Online, Americas and the Caribbean, Europe and the Middle East & UK DAB/Freeview only
- Wed 28 Oct 201521:32GMTBBC World Service Australasia, East Asia, South Asia & West and Central Africa only
- Thu 29 Oct 201502:32GMTBBC World Service Americas and the Caribbean
- Thu 29 Oct 201503:32GMTBBC World Service East Asia, Online, Europe and the Middle East & UK DAB/Freeview only
- Thu 29 Oct 201504:32GMTBBC World Service South Asia
- Thu 29 Oct 201505:32GMTBBC World Service Australasia
- Thu 29 Oct 201507:32GMTBBC World Service East and Southern Africa & Europe and the Middle East only
- Thu 29 Oct 201513:32GMTBBC World Service Online & UK DAB/Freeview only
- Thu 29 Oct 201514:32GMTBBC World Service except Online, Americas and the Caribbean, Australasia & UK DAB/Freeview
Podcast
![]()
Health Check
Health issues and medical breakthroughs from around the world.

