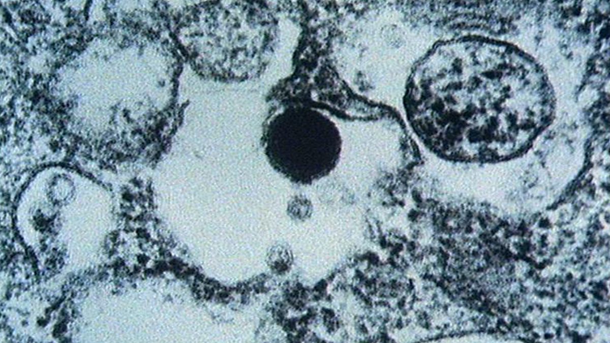
First transmitted in 1983, Horizon traces the spread of a newly identified disease, AIDS, across America. It asks if the seeds of a spreading epidemic had already reached London.
First transmitted in 1983, Horizon traces the spread of AIDS across America. AIDS - Acquired Immune Deficiency Syndrome - was only named in 1982, and was still largely unknown. This programme follows the search for a cause and cure, and asks whether the seeds of a spreading epidemic had already reached London.
Last on
More episodes
Next
Coming soon
Clip
![]()
Discovering HIV/AIDS
Duration: 03:10
50 Years of Horizon Collection

About BBC Four Collection programmes
50 Years of Horizon - interactive ebook

Credits
| Role | Contributor |
|---|---|
| Narrator | Paul Vaughan |
| Producer | Alec Nisbett |
| Editor | Stefan Ronowicz |
| Editor | Graham Massey |
Broadcasts
Featured in...
![]()
The 1980s
Head back 40 years (yes, 40) to explore Thatcher's Britain through telly from the decade.
![]()
Science and Tech
Science and Tech
![]()
50 Years of Horizon
A collection of Horizon programmes, celebrating 50 years of broadcasting.
![]()
50 Years of Horizon
A collection of programmes specially chosen to celebrate Horizon's 50th anniversary.




